医療法人社団 悠天会 せんげん台木村歯科医院

tel:048-973-5533
WEB予約はこちらから

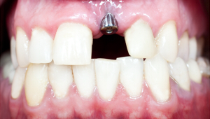
インプラント治療

インプラントは失った歯と根に代わる人工歯根を顎の骨に理入することにより、人工の歯を被せたり、ブリッジや入れ歯を入れることも出来る治療です。

歯槽のうろうの進行が、かなり進んだ方や全身疾患の状態により、インプラントが出来ない場合もあります。

当院では、無理なインプラントは行っておりません。

骨の状態と、口腔衛生状況、全身状態を診てインプラントに適合するかご説明の上、治療開始いたします。

インプラント土台